Conditions · AMD

Age-Related Macular Degeneration

Age-related macular degeneration is a worrying diagnosis — but for most people, modern treatment is highly effective at preserving vision. Wet AMD in particular responds very well to injection therapy when treated promptly. Dry AMD can often be monitored and slowed. Whatever stage you are at, an early assessment gives you the clearest picture and the most options.

Age-related macular degeneration (AMD) is the leading cause of central vision loss in people over 50. While dry AMD progresses slowly, wet AMD can cause rapid and severe loss of central vision if not treated promptly.

At a Glance
👁
AffectsCentral vision only
Wet AMD treatmentAnti-VEGF injections
UrgencyPrompt assessment needed
LocationMoorfields Eye Hospital
The condition

What is AMD?

AMD affects the macula — the central part of the retina responsible for sharp, detailed vision. It is caused by ageing changes to the retinal pigment epithelium and the tiny blood vessels beneath it, leading to the gradual loss of the photoreceptors responsible for central vision.

Peripheral vision is preserved in AMD. Most patients retain enough vision to manage independently, but lose the ability to read, recognise faces, and see fine detail.

Dry AMD

The more common form. Characterised by drusen (yellow deposits) and areas of geographic atrophy. Progresses slowly over years. No injection treatment is currently available in the UK, though supplements may slow progression in some patients.

Wet AMD

Caused by abnormal new blood vessel growth (choroidal neovascularisation) beneath the retina. These vessels leak fluid and blood, causing rapid central vision loss. Highly treatable with anti-VEGF injections if caught early.

Wet AMD showing subretinal haemorrhage and fluid on fundus examination
Wet AMD — subretinal haemorrhage from choroidal neovascularisation
Dry AMD showing drusen deposits and early geographic atrophy at the macula
Dry AMD — confluent drusen and early geographic atrophy
Symptoms

What Does AMD Feel Like?

Dry AMD typically causes slowly progressive blurring or distortion of central vision. Wet AMD can cause sudden, rapid deterioration.

Key symptoms include difficulty reading or recognising faces, straight lines appearing bent or wavy (metamorphopsia), a blurred or dark area in the centre of vision, and colours appearing less vivid. Peripheral vision and the ability to walk around safely are preserved.

“If you notice a sudden change in your central vision — new distortion, blurring, or a dark patch — you should seek an urgent ophthalmology assessment the same day or the following morning.”

Treatment

Anti-VEGF Injections for Wet AMD

Wet AMD is treated with intravitreal injections of anti-VEGF (anti-vascular endothelial growth factor) drugs. These block the abnormal blood vessel growth responsible for leakage and vision loss. Regular injections — typically monthly at first — stabilise the condition and frequently result in improvement in vision.

Treatment is ongoing. The frequency of injections is gradually reduced as the condition stabilises, guided by regular OCT scans of the macula. Most patients require long-term monitoring and intermittent treatment.

Mr Henderson provides a full assessment, diagnosis, and management plan, and works closely with the AMD service at Moorfields to ensure continuity of care.

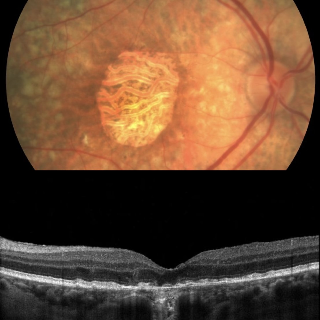
Geographic atrophy in late dry AMD shown on colour fundus and OCT imaging
Geographic atrophy (late dry AMD) — colour fundus and OCT
Questions & Answers

Frequently Asked Questions

What to expect

Your Journey from Diagnosis to Care

1
Urgent Assessment

Same-day or next-day consultation for new or worsening symptoms. OCT and imaging confirm diagnosis and type within the same visit.

2
Personalised Treatment Plan

Mr Henderson tailors treatment to your specific type of AMD — whether monitoring, injection therapy, or referral for specialist care.

3
Treatment at Moorfields

Injection therapy (anti-VEGF) performed at Moorfields Eye Hospital. Fast, well-tolerated, and highly effective for wet AMD.

4
Ongoing Monitoring

Regular OCT monitoring tracks your response and guides treatment intervals. Mr Henderson follows your care personally throughout.

Is AMD curable?
There is currently no cure for AMD. However, wet AMD can be effectively controlled with anti-VEGF injections, and many patients maintain stable or improved vision with regular treatment. Dry AMD progresses more slowly and certain supplements (AREDS2 formula) may slow progression in intermediate stages.
Will I go completely blind from AMD?
AMD affects central vision only. Peripheral vision is preserved, meaning complete blindness from AMD alone is very rare. Most patients retain enough vision to be mobile and independent, though activities requiring fine central vision — reading, driving, and face recognition — become progressively more difficult.
How quickly does wet AMD progress?
Wet AMD can cause significant vision loss within days to weeks without treatment. This is why prompt assessment and early treatment are so important. With timely anti-VEGF injections, the majority of patients stabilise and many experience an improvement in vision.
Can AMD affect both eyes?
Yes. AMD is a bilateral condition, though it often affects one eye more than the other, at least initially. If you have AMD in one eye, the risk of developing it in the other eye is significantly increased, which is why regular monitoring of both eyes is important.

“I was terrified when I was told I had wet AMD. Mr Henderson saw me within days at Moorfields, started injections immediately, and my vision has been stable ever since. His calm, clear explanations made an enormous difference to my anxiety.”

Private patient — wet AMD treatment, Moorfields Eye Hospital

Arrange a Consultation

Mr Henderson provides personal continuity of care for all AMD patients. Your appointments are always with him directly.

To arrange an assessment for AMD, please contact Alison Anscombe, Mr Henderson’s secretary:

+44 7974 015691  ·  alison.anscombe1@nhs.net

Or use the contact form on this website.

Mr Robert Henderson BSc MBBS MD FRCOphth is a Consultant Vitreoretinal Surgeon at Moorfields Eye Hospital and Great Ormond Street Hospital, and Clinical Lead for Ophthalmology at GOSH. He holds an Honorary Associate Professorship at UCL-GOSH Institute of Child Health.