Conditions · Diabetic Retinopathy

Diabetic Retinopathy

Diabetic retinopathy is a common complication of diabetes — but caught early, it is highly treatable and vision loss is largely preventable. Even in more advanced cases, modern injection therapy and laser treatment can stabilise and often improve vision. If you have diabetes, regular retinal assessment is one of the most important things you can do for your long-term sight.

Diabetic retinopathy is the most common cause of preventable blindness in working-age adults in the UK. Early detection and timely treatment prevent the majority of cases of serious visual loss.

At a Glance
TreatmentsInjections, laser, vitrectomy
👁
Early stagesOften no symptoms
Key messageAttend screening every year
LocationMoorfields Eye Hospital
The condition

How Diabetes Affects the Eyes

High blood sugar levels damage the tiny blood vessels supplying the retina. Over time, these vessels leak fluid, bleed, or close off entirely — starving the retina of oxygen. In response, the retina attempts to grow new blood vessels, but these fragile new vessels are prone to bleeding and can cause devastating complications including vitreous haemorrhage and tractional retinal detachment.

Diabetic retinopathy can affect anyone with type 1 or type 2 diabetes. The longer the duration of diabetes and the poorer the blood sugar control, the greater the risk. Annual diabetic eye screening is essential to detect changes before symptoms develop.

“The tragedy of diabetic retinopathy is that by the time patients notice visual symptoms, significant damage may already have occurred. Screening saves sight.”

Proliferative diabetic retinopathy showing new vessel formation at the disc
Proliferative diabetic retinopathy — new vessels at the disc (NVD)

Stages of Diabetic Retinopathy

Background DR

Microaneurysms and small haemorrhages visible on examination. No impact on vision. Good blood sugar and blood pressure control is the key intervention.

Diabetic Maculopathy

Fluid leaks into the central macula (diabetic macular oedema), causing blurred central vision. Treated with intravitreal anti-VEGF injections.

Proliferative DR

New abnormal blood vessels grow on the retinal surface. High risk of vitreous haemorrhage and tractional retinal detachment. Treated with pan-retinal photocoagulation (PRP) laser.

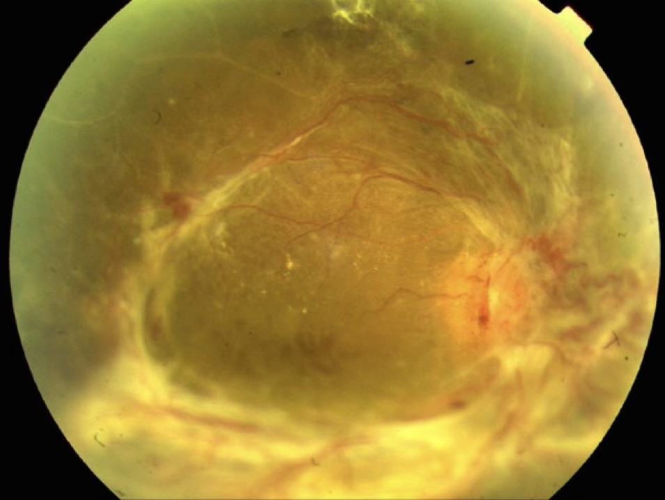
Tractional retinal detachment complicating proliferative diabetic retinopathy
Tractional retinal detachment — a complication of proliferative DR
Surgical Treatment

When Surgery is Needed

Most diabetic retinopathy is managed with injections and laser. However, surgery becomes necessary when complications develop:

Vitreous haemorrhage — when new vessels bleed into the vitreous cavity, causing sudden severe visual loss. Vitrectomy removes the blood and allows treatment of the underlying vessels.

Tractional retinal detachment — fibrous tissue forming on the retinal surface contracts and pulls the retina away from the back of the eye. Complex vitrectomy with membrane peeling is required to relieve the traction and reattach the retina.

Diabetic vitrectomy is amongst the most technically demanding in retinal surgery. Mr Henderson has subspecialty expertise in complex diabetic cases.

Laser Treatment

Pan-Retinal Photocoagulation

PRP laser treatment is used for proliferative diabetic retinopathy to reduce the drive for abnormal new vessel growth. Laser burns are applied to the peripheral retina, reducing its oxygen demand and causing regression of new vessels.

PRP is typically delivered over one to three sessions. It is not a cure, but effectively reduces the risk of vitreous haemorrhage and tractional detachment when performed at the right time.

Pan-retinal photocoagulation laser marks visible on fundus examination
Pan-retinal photocoagulation (PRP) laser marks
Questions & Answers

Frequently Asked Questions

What to expect

Your Journey from Assessment to Treatment

1
Retinal Assessment

Comprehensive examination and OCT imaging to grade your retinopathy and identify any areas of concern — including macular oedema or new vessel growth.

2
Treatment Plan

Mr Henderson tailors a plan to your specific stage — monitoring, laser photocoagulation, anti-VEGF injections, or vitrectomy for advanced cases.

3
Treatment at Moorfields

All treatment performed personally by Mr Henderson at Moorfields Eye Hospital — the UK’s leading centre for retinal disease.

4
Monitoring & Support

Structured follow-up aligned with your diabetic care. Mr Henderson coordinates with your diabetes team to optimise your long-term outcomes.

Can diabetic retinopathy be reversed?
Early diabetic retinopathy can stabilise and even partially improve with excellent blood sugar control. Diabetic macular oedema frequently responds well to anti-VEGF injections, with many patients experiencing meaningful visual improvement. Proliferative retinopathy can be controlled with laser. However, the structural changes of advanced disease are not fully reversible.
How often should I have my eyes checked if I have diabetes?
You should attend the NHS Diabetic Eye Screening Programme every year without fail. If retinopathy is detected, more frequent monitoring will be arranged. Do not wait for visual symptoms — significant damage can occur silently.
I have blurred vision — could this be diabetic macular oedema?
Blurred or fluctuating central vision in a person with diabetes should always prompt an urgent eye assessment. Diabetic macular oedema is one of the most common causes of visual impairment in diabetic patients and is highly treatable with anti-VEGF injections when caught early.

“I’d been told my diabetic eye disease was getting worse and I might lose my vision. Mr Henderson started me on injections immediately and my sight has improved significantly. His ability to explain things clearly and without alarm made all the difference.”

Private patient — diabetic retinopathy treatment, Moorfields Eye Hospital

Arrange a Consultation

Mr Henderson provides personal continuity of care for all diabetic eye disease patients. Your appointments are always with him directly.

To arrange an assessment for diabetic retinopathy, please contact Alison Anscombe, Mr Henderson’s secretary:

+44 7974 015691  ·  alison.anscombe1@nhs.net

Or use the contact form on this website.

Mr Robert Henderson BSc MBBS MD FRCOphth is a Consultant Vitreoretinal Surgeon at Moorfields Eye Hospital and Great Ormond Street Hospital, and Clinical Lead for Ophthalmology at GOSH. He holds an Honorary Associate Professorship at UCL-GOSH Institute of Child Health.